AGING BACKWARDS: A natural and non-invasive approach
Editor’s Note: Our Beauty, Health & Wellness Editor, Anne Akers, interviews Dr. Naeemah Ruffin, Founder, BELLANTZ
In this youth-obsessed culture, how many of us have felt the pain of witnessing a friend’s bad plastic surgery…..the “windswept look”, chipmunk cheeks, duck lips and other distortions of the lovely person we once knew. Yes, it can happen even to the most sophisticated, knowledgeable consumer, including celebrities for whom “price is not an object” and access to aesthetic doctors is presumably unlimited.
What are the alternatives for those looking for a non-invasive, natural approach to aging gracefully?
As we know, girl friends talk to one another for recommendations….and I am no exception. In a casual conversation with Valerie Bennis, a successful businesswoman whose opinions I respect, I noticed a much more relaxed, refreshed, pleasant look in her demeanor. My first question was to say, “Are you in love”?
She smiled and proceeded to explain that she had started a program of facial exercises with Dr. Ruffin and I was not the only one who had noticed something different about her look.
In her own words, “People constantly remark at how I am aging backwards, looking as though I have turned back time. As I continued with facial exercise, I not only noticed a difference in the way I looked but also how I experienced daily expressions like smiling, using those muscles in my face that had not been exercised in the past. I am grateful to Dr. Ruffin for teaching me these targeted, individual exercise that will be sustainable throughout my life”.
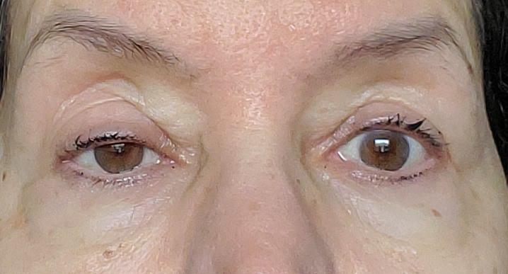
BEFORE
AFTER
Before on left. After 8 weeks on right.
These are just a few of the testimonials that you will find on Dr. Ruffins website, which is www.bellantz.com. And who is Dr. Ruffin? In addition to being the CEO/Founder of Bellantz, located in NYC, she is an Assistant Clinical Professor at Mt. Sinai Hospital, where she completed her surgical residency as well as a mini-fellowship in dermatopathology at Bako Diagnostics. Throughout her career, she has always had a passion for beauty and anti-aging, and thus was borne her company, which specializes in personalized face fitness coaching, acupressure and skin remodeling techniques designed to lift, tone and tighten the skin. Her program also includes skin care coaching, based on the power of Plant based skincare. Bellantz Clinical Skincare has been in the making since Naeemah was nine years old and watching her mom and grandmother perform their nightly skin care routines. With her advancing years, and surviving breast cancer in her 40’s, Dr. Ruffin was completely committed to creating a product line that was clean, green, effective and could be trusted.
Intrigued? Want to know more? Here are some of my questions to Dr Ruffin from a lovely, inspersion interview?
Q: Who is the ideal candidate for your system of facial exercise? And is there anyone who is not a good candidate?
A: The ideal candidate is an individual who has a healthy self-esteem, is disciplined, healthy conscious, has healthy routines and habits and realizes that aging gracefully is a positive journey where they will learn about themselves as well as reaping the benefits of aging gracefully. Those who may not be good candidates are individuals who are not disciplined and are looking for quick fixes or have unrealistic expectations.
Q: What are the specifics of your Facial Fitness program?
A: All programs are customized to your personal goals. Coaching sessions are held weekly for 45 mins. And clients perform their routines in the comfort of their own home for less than 15 minutes per day with results seen as early as 6 weeks. Core training packages are available for 6, 12, or 20 weeks, as well as a Lifestyle Training program to maintain and enhance results for those who have completed the core package.
Q: Your system combines the use of facial exercise and acupressure. Describe the benefits of acupressure and how these techniques are taught to your clients?
A: Acupressure is a non-invasive way of releasing the tension in muscles, specifically facial muscles. Holding tension in the facial muscles can result in individuals holding the muscles in a way that can make the face appear aged. For example, consistently frowning can can result in lines between the brows, known as the “11”s”. Constant raising of the brows can also result in horizontal lines across the forehead and constant clenching of the jaw can result in a hardened appearance.
I teach my client to use their hands and/or tools such as a jade roller or Gua Sha, applying slight pressure to specific acupoints to release tension, resulting in a softer, more relaxed appearance. For some, it is important that they release the tension in facial muscles prior to learning how to exercise the facial muscles to be sure the muscles are properly trained.
Q: Are licensed acupuncturists who specialize in a technique called the Acupuncture Face Lift? What is the primary differences between the two techniques and are they compatible?
A: The AFL is based on the idea that when you hold tension in your face, you create frowns and wrinkles. Inserting needles into the specific area of the face with or without a current may help relax the tension held by these muscles, creating a more relaxed appearance.
Using acupuncture for the face has the same effect as the acupressure techniques that I teach to relax the tension in facial muscles. HOWEVER, exercising the facial muscles has the added benefit of producing age-defying results beyond releasing tension in the face. Exercising the facial muscles has the ability to reshape the face by improving muscle tone, increasing muscle volume, and improving blood flow to the face. These benefits have the effect of smoothing wrinkles and creases and lifting and tightening areas of the skin due to loss of fat volume and decreased muscle tone over time. There is evidence-based research that supports facial exercise as a natural facial rejuvenation in addition to correcting facial symmetry, especially in those with Bell’s Palsy.
Q: Does your technique apply to men as well as women and what adjustments in technique do you make for men?
A: Both men and women will benefit from my techniques and I make specific adjustments for each individual, regardless of gender, based on the shape of their face.
At the end of the day, there is simply no replacement for exercising your own muscles to increase muscle tone and increase muscle volume.
BEFORE
AFTER
In conclusion, as one who has spent decades in the beauty, health and wellness space, as well as exposure to many alternatives for gracefully aging, I’m IN!! This all makes perfect sense to me.
And BTW, Dr. Ruffin will be an exhibitor at this year’s Renewal Summit on May 13th at the Scandinavia House. Stop by and say hello!
CONTACT: Dr. Naeemah Ruffin, CEO/Founder, BELLANTZ, LLC info@bellantz.com
www.bellantz.com |PHONE: 1.877.322.3964
Anne brings a wealth of knowledge to her role as The Three Tomatoes’ Beauty, Health and Wellness Editor. As a champion of health and well-being for all, she is the Founder/Publisher of GLOW Beauty, Health and Wellness magazine; previous Founder of Castle Connolly Graduate Medical Publishing, publishing educational review manuals for doctors to pass their board exams in 15 different medical specialties and co-Founder of MDPublish.com, publishing and marketing books for health professionals. A winner of the SMART CEO award for "entrepreneurial spirit with a sense of give back to the community," Anne sits on many Boards for women's health, with a particular passion for Veterans and her current
role as Special Advisor to Operation Warrior Shield, "healing their hidden wounds". www.operationwarriorshield.com.
Visit Anne at: www.glowbeautymag.com
or: www.mdpublish.com.

I am looking forward to trying an exercise regime for the face. Thank you for this.